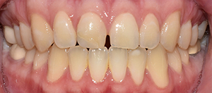
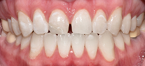
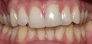
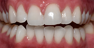
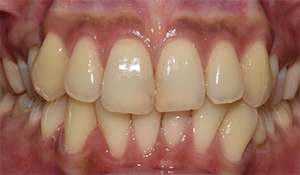
Il est cliniquement prouvé que le blanchiment en LASER, la marque de blanchiment des dents la plus demandée des patients, éclaircit les dents de huit tons maximum en 45 minutes.
Blanchiment des Dents à Dubai – LASER
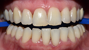
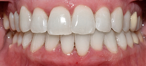
AVANT ET APRÈS








OPTIONS DE BLANCHIMENT:

Blanchiment à la chaise – Laser:
- Amélioration immédiate de la couleur de vos dents le jour même.
- Le blanchiment consiste de 3 à 4 application de 15 minutes qui est activé par le Laser
- Obtenez des gouttières de blanchiments fabriquées sur mesure pour des retouches à la maison.

Blanchiment à la maison (Gouttière de Blanchiment)
- Une solution idéale pour les patients avec des dents sensibles
- Gouttières de blanchiment fabriquées sur mesure.
- Des Syringes de blanchiments sont mis aux patients avec les instructions d‘utilisation.
- 1 à 2 applications de 30 minutes par jour sont nécessaires.
- Un sourire blanc et brillant dans 2 semaines!
NOTRE ÉQUIPE DENTAIRE

Dr. Firas Al-Khoury
B. Sc. D.M.D
Formation Canada & États-Unis
Ordre des Dentistes du Québec, Canada
…

Dr. Nawras Al-Khoury
D.M.D, FICOI
Formation Canada & États-Unis
Diplome d’Implantologie – États-Unis
Ordre des Dentistes du Québec, Canada
Témoignages
De loin de meilleur dentiste chez qui j’ai pu aller. Dr Nawras, en plus de parler un français impeccable, est très agréable, patient et pédagogue! A noter aussi que toute l’équipe d’assistants est particulièrement accueillante et professionnelle. Je recommande très chaleureusement.
Je tiens à remercier toute l’équipe et plus particulièrement docteur Nawras qui a été exemplaire tant sur le plan humain que professionnel, son excellent travail a changé mon quotidien,aujourd’hui je souri sans aucune gêne ni complexe.
Je suis content d’avoir trouvé cette clinique. Les dentistes sont tous francophones et offrent le même niveau de soins que je recevais en France. Ma fille de 5 ans a eu une excellent experience aussi. Un cabinet fortement recommendé.